Узнайте всё о лечении за 15 минут
Выберите направление лечения
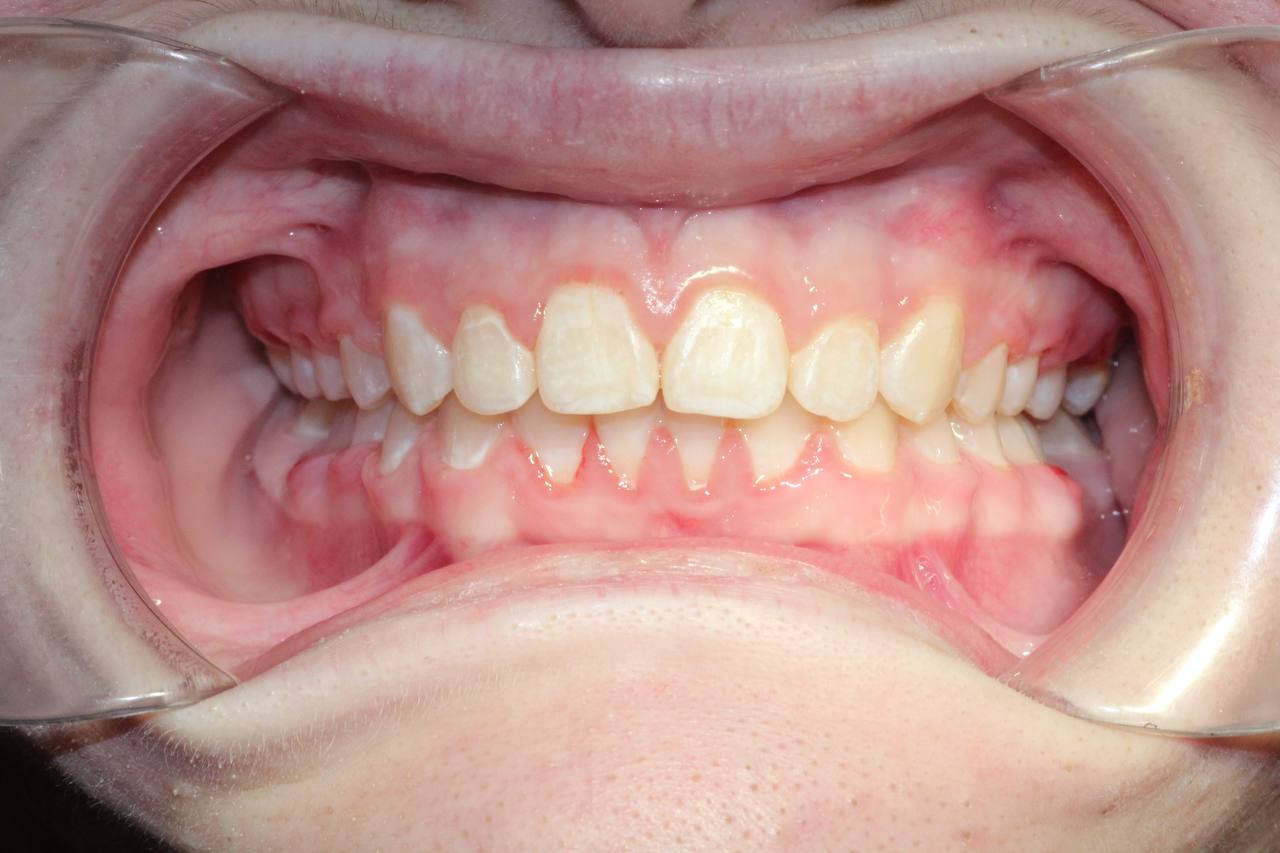
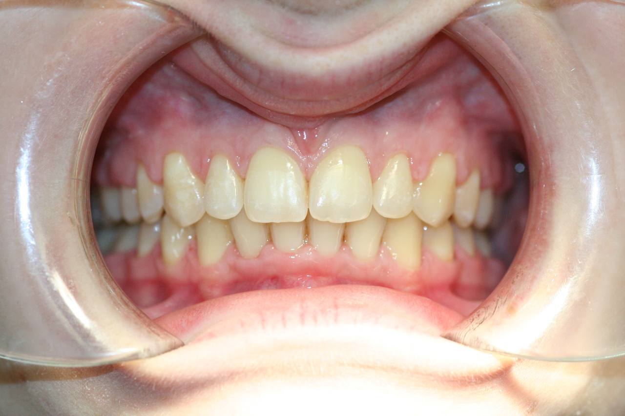
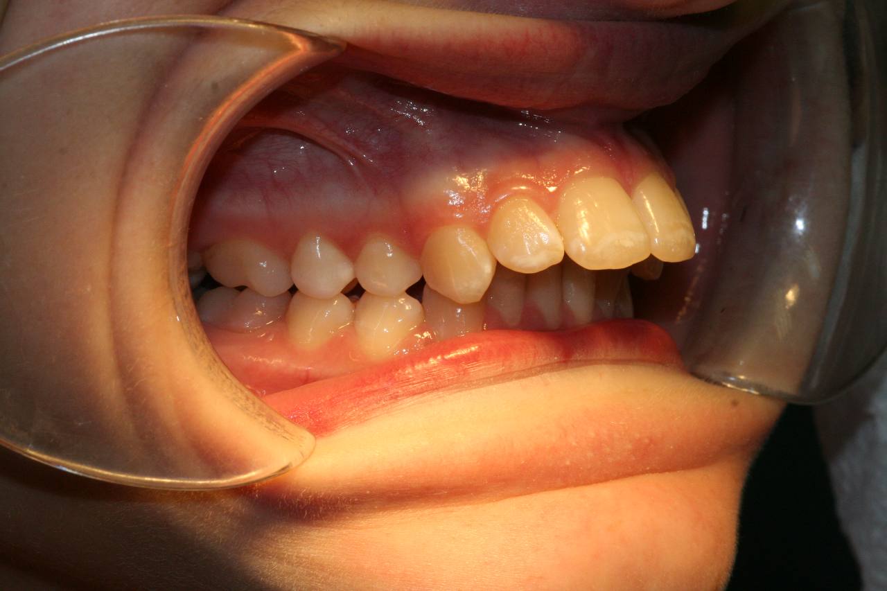
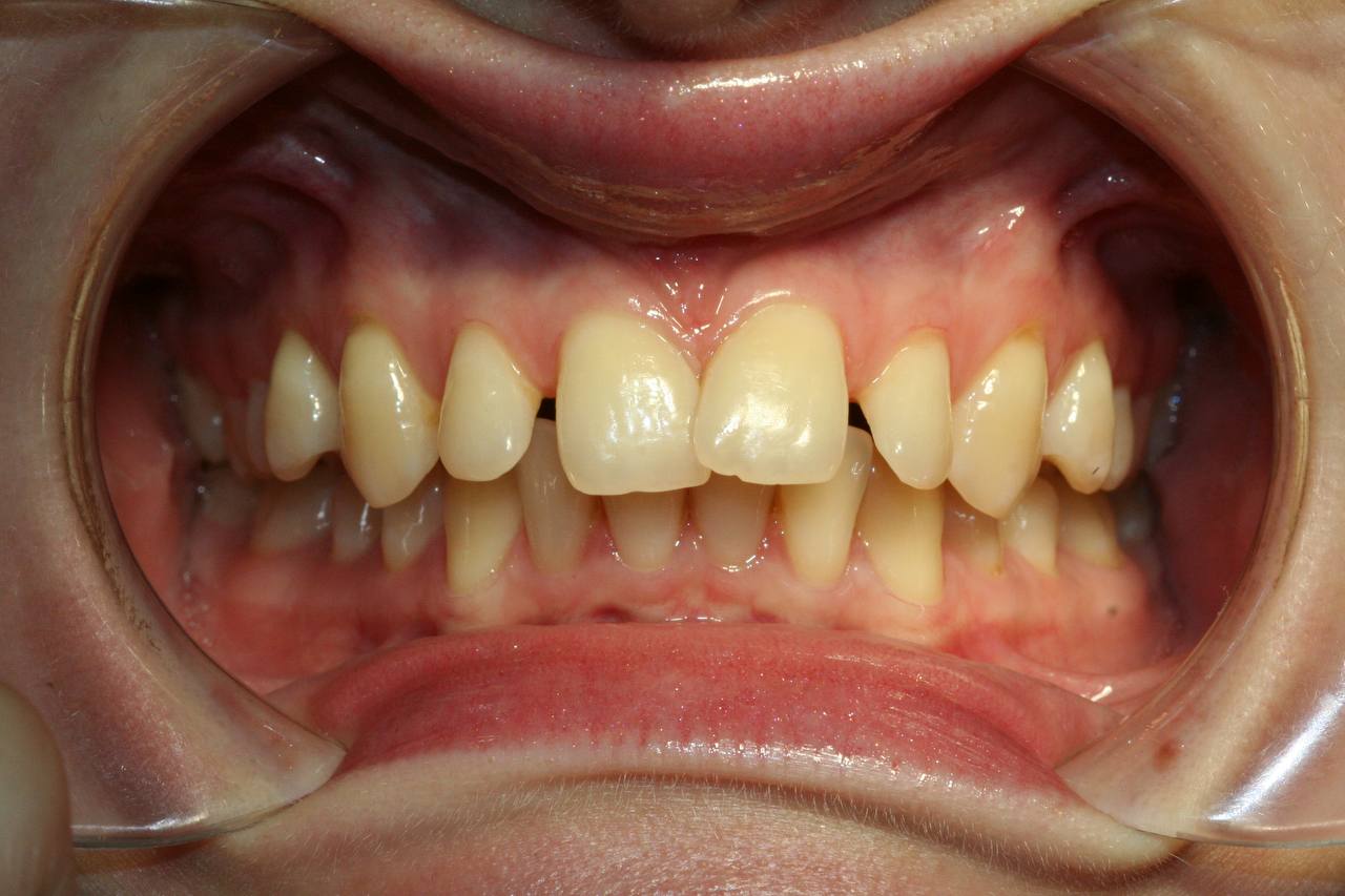
Нажмите на случай, чтобы узнать подробности
Полезные видео о лечении и уходе за зубами
Нажмите на вопрос, чтобы посмотреть ответ
Выбор брекетов зависит от клинической ситуации, ваших предпочтений и бюджета. На консультации я подробно расскажу о преимуществах каждого типа и подберу оптимальный вариант. Металлические брекеты — самые надёжные и доступные по цене. Керамические — менее заметны на зубах.
Да, я принимаю пациентов, которые начали лечение у других специалистов. На консультации оценю текущую ситуацию и предложу план дальнейшего лечения.
Первую консультацию рекомендую в возрасте 6-7 лет, когда появляются первые постоянные зубы. Это позволит вовремя выявить проблемы и начать лечение в оптимальный период.
Съемные аппараты эффективны для детей 6-12 лет и помогают направить рост челюстей в правильном направлении. Это может существенно упростить или даже избежать лечения на брекетах в будущем.
Установка брекетов безболезненна. В первые дни после установки может быть небольшой дискомфорт, который проходит за 3-5 дней. При необходимости можно принять обезболивающее.
При правильном уходе брекеты не портят зубы. Главное — соблюдать гигиену и рекомендации врача. Я подробно объясню, как ухаживать за зубами во время лечения.
Я работаю с проверенной брекет-системой, которая показала отличные результаты за годы практики. Это позволяет мне максимально точно прогнозировать результат лечения.
Ортодонтический центр был открыт в 2004 году моим отцом Гусевым Дмитрием Михайловичем.
В 2017 году я, Гусев Матвей Дмитриевич, закончил стоматологический факультет Первого медицинского института и решил пойти по стопам отца.
У нас семейная клиника. За годы практики мы вылечили более 4000 пациентов.
Будем рады ответить на все интересующие вас вопросы
Более 150 отзывов на Яндекс Картах
Искали ортодонта, пришли к Матвею на первую бесплатную консультацию, он рассказал как будет происходить лечение, сколько будет стоить точно, без скрытых платежей. Поставили брекет-систему ребенку 12 лет, результат увидели уже через месяц — все зубы встали в один ряд. Спасибо большое Матвею!
Прошла лечение у ортодонта Матвея Гусева — осталась очень довольна. Планировалось 1,5 года, но сняли брекеты на 3 месяца раньше. Матвей и его ассистент — очень внимательные и доброжелательные. Огромное спасибо за мою новую улыбку!
Результат превзошел мои ожидания! С первой консультации стало ясно, что буду лечиться у него — не пытался навязать лишние процедуры. Матвей спокойный, терпеливый и доброжелательный. Результат идеальный — выровнялись зубы, улучшился прикус, изменилась форма улыбки.
Прежде чем начать лечение, обошла 4 клиники. Матвей Дмитриевич никому не оставил шансов! Лечение заняло всего 15 месяцев. Я очень благодарна за профессионализм, честность и открытость. Сумма была понятна, озвучена сразу и прописана в договоре.
Оплата была комфортной: небольшая сумма каждый месяц. У Екатерины очень легкая рука — работает аккуратно и внимательно. В клинике приятная атмосфера, Матвей позитивный и подробно отвечает на любые вопросы. Никаких попыток затянуть процесс или навязать лишние услуги.
Честный подход, не берут деньги сразу. Вылечили за год, хотя большинство врачей говорили 1,5–2 года. Ответили: «Много пациентов, поэтому нет желания искусственно вытягивать деньги из одного пациента.» Всё супер адекватно и за нормальные деньги!
Я безумно рада, что выбрала Ортодонтический центр доктора Гусева! Моя улыбка стала ровной и красивой. Процесс лечения был четко спланирован, доктор всегда был на связи. Рекомендую Дмитрия Михайловича и Матвея Дмитриевича — настоящие профессионалы!
Прекрасный специалист, профессионал своего дела и просто хороший человек с отличным чувством юмора! Рада, что выбрала именно его. Будьте готовы, что запись расписывается на несколько недель или месяцев вперед. Рекомендую!